Maternal Fetal Medicine Services
Personalized Care
Consultation
Preconception Consultation
Designed for women planning pregnancy or those with prior complications. Includes medication review, genetic carrier screening recommendations, and individualized risk assessment.
Maternal-Fetal Medicine Consultation
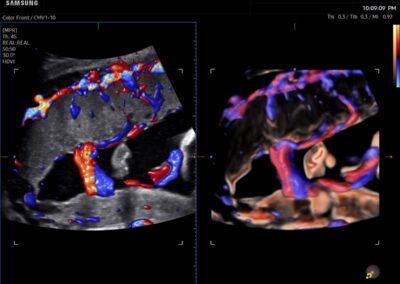
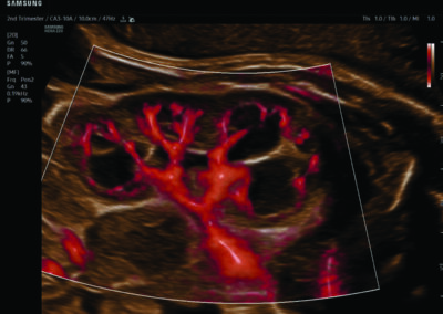
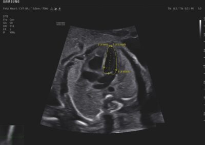
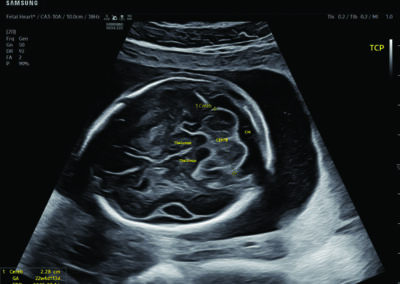
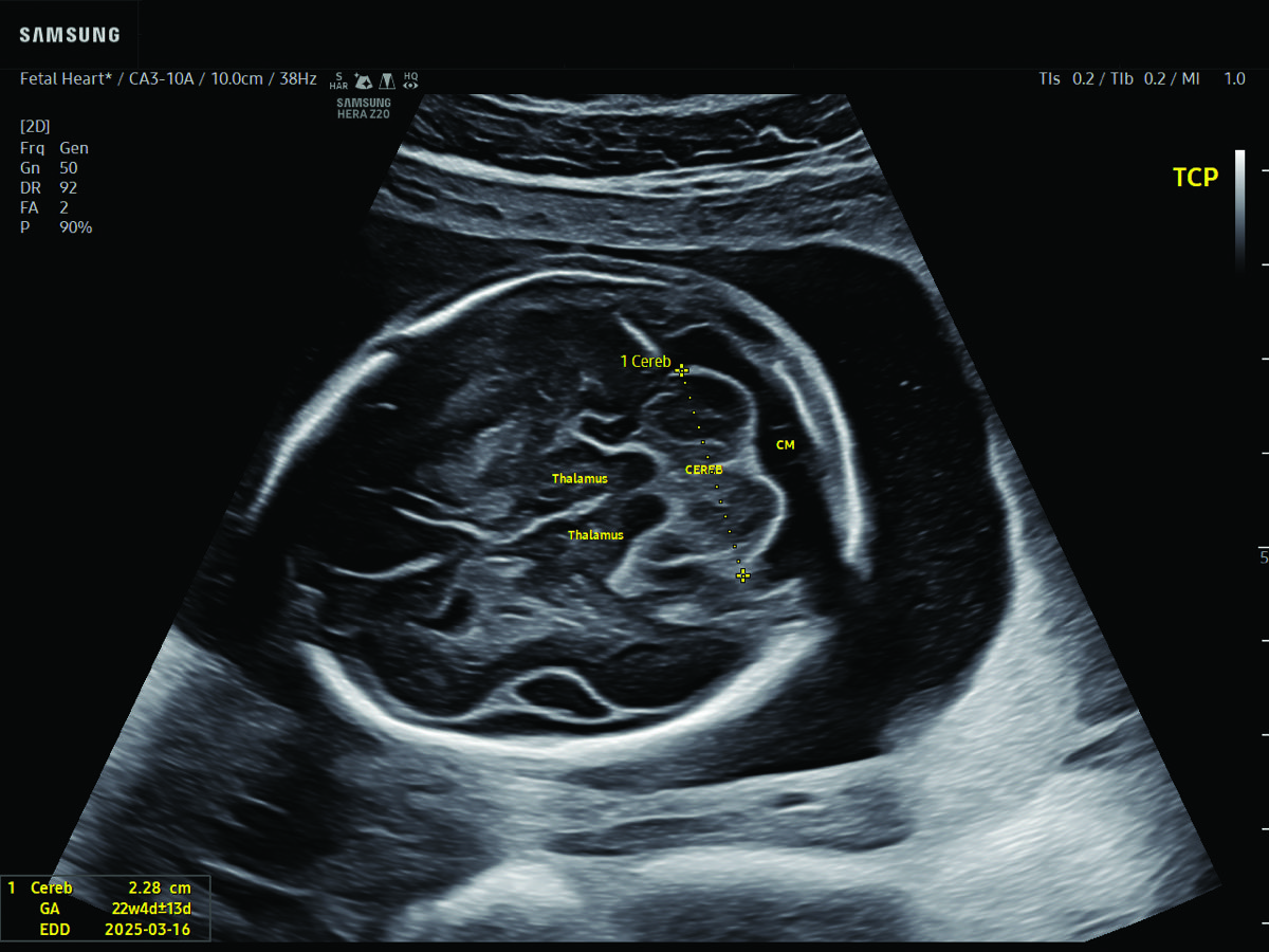
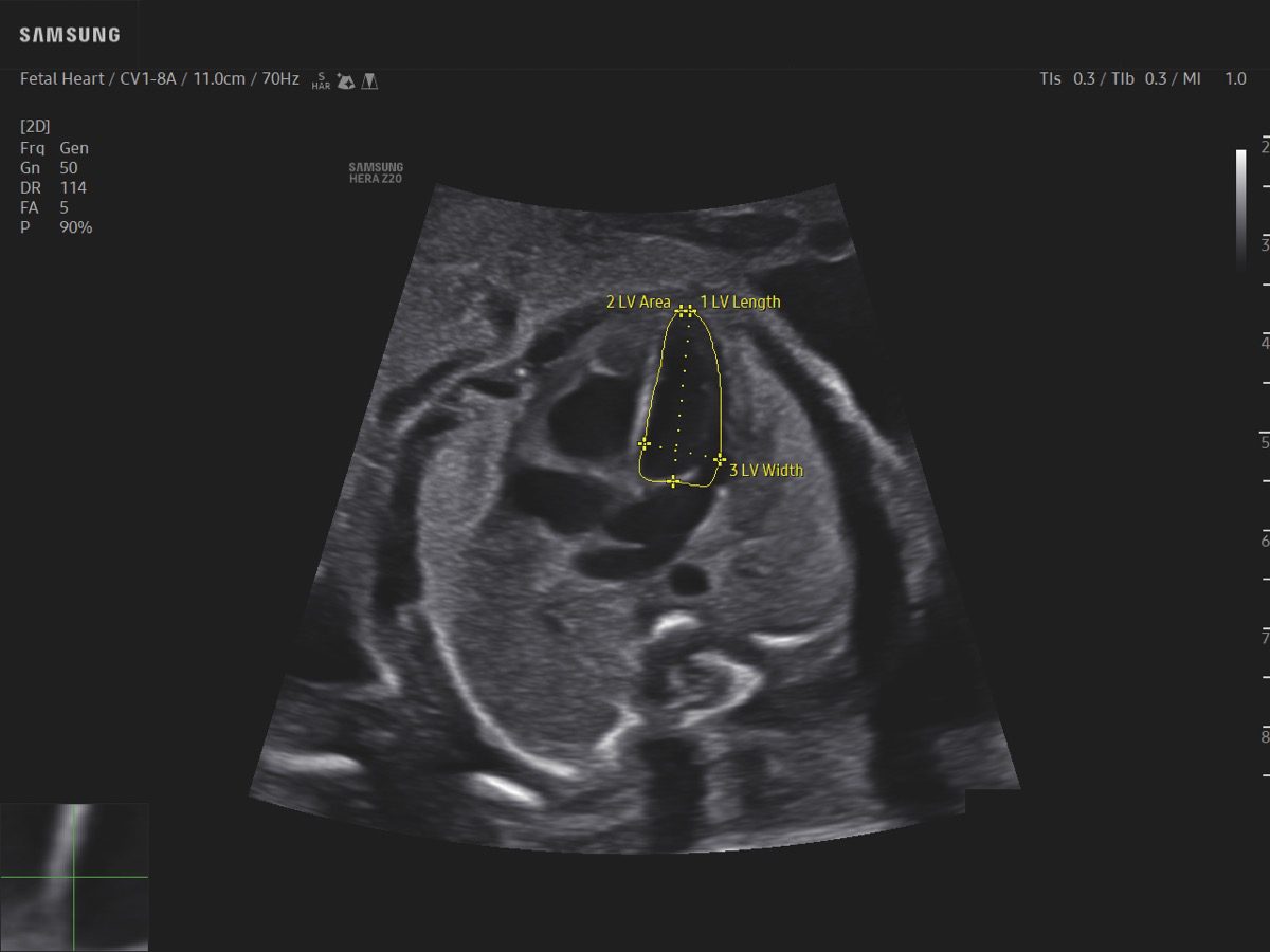
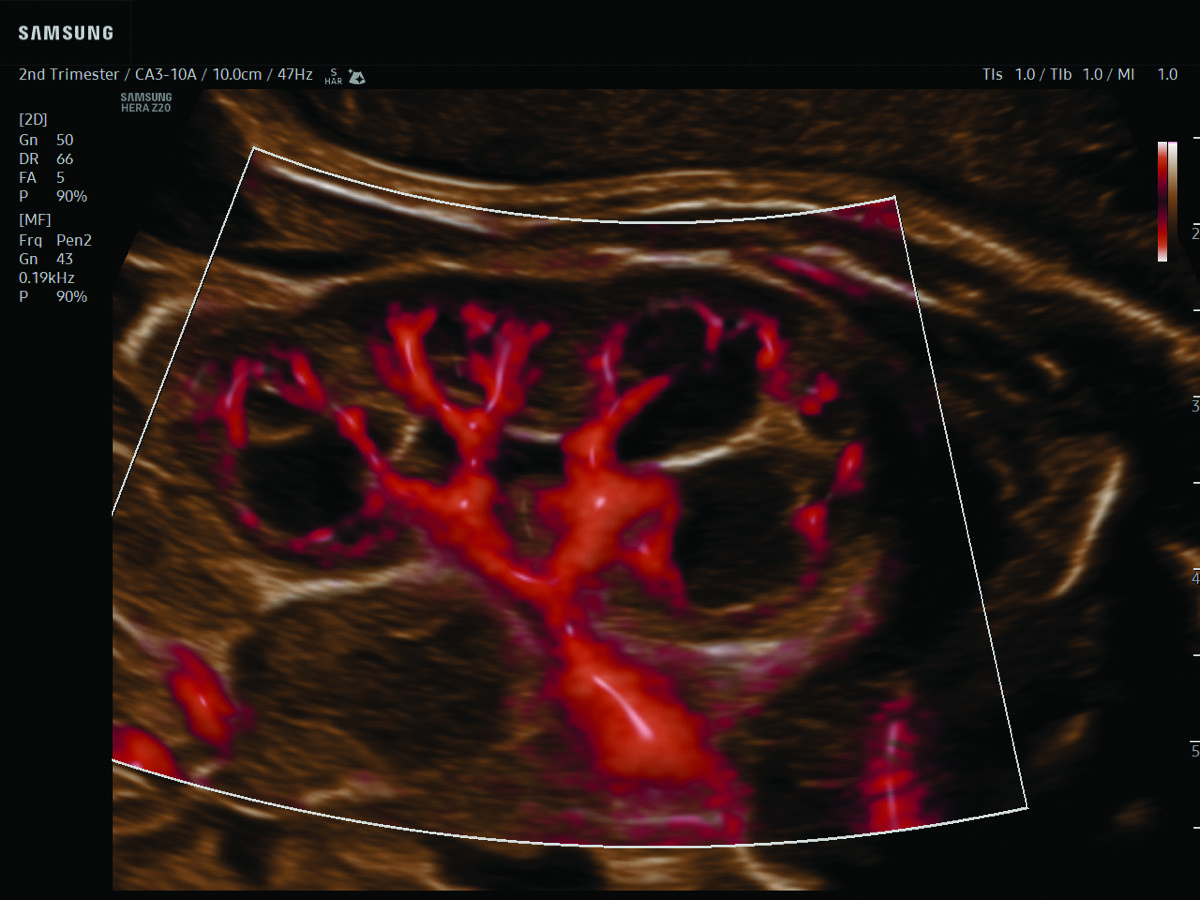
In-depth evaluation of maternal and fetal conditions requiring specialized care such as diabetes, hypertension, thyroid disease, autoimmune disorders, or fetal growth or anatomy concerns.
Complex Case Review / Second Opinion
For patients seeking additional clarity regarding prior ultrasounds, genetic testing, or specialist recommendations. Includes review of medical records and personalized recommendations.
Follow-Up Consultation
For established patients who need continued management, result discussion, or adjustment of treatment plans. Available both in-person and via telemedicine.
Telemedicine Consultation
Secure video or phone consultation for patients physically located in Washington State. Ideal for preconception counseling, follow-ups, or second-opinion discussions.
Urgent Same-Day Consultation
For time-sensitive maternal or fetal concerns. Expedited appointments are available during business hours, including same-day evaluation when appropriate.
Assessment of medical history, genetics, medication safety, and risk factors before pregnancy.
Genetic Counseling offered by TeleHealth
Procedural Services
- Cervical cerclage
- Amniocentesis
Comprehensive, advanced and expert MFM care for high-risk pregnancies
- Diabetes
- Hypertension
- Preeclampsia
- Advanced maternal age
- Thyroid disease
- Autoimmune & infectious diseases
- Recurrent pregnancy loss
- Cervical incompetence
- Multiple births
- Genetic disorders
- Intrauterine growth restriction
- Opioid use disorder
- Neural tube defects
- Blood clotting disorders
- Premature rupture of membranes
- Preterm labor
- Isoimmunization
- Fetal anomalies
- Obesity


































































